How Meditation Rewires Your Brain: What the Latest Neuroscience Shows
If someone told you meditation was just sitting still and thinking about nothing, they got it wrong. Totally wrong.
For centuries, the Western world treated meditation like some kind of mental shutdown. Close your eyes, empty your thoughts, reach enlightenment. Simple. Peaceful. Boring.
But here's what actually happens in your brain when you meditate: it lights up like a Christmas tree.
Recent neuroscience research has shattered the "empty mind" myth. Instead, meditation triggers a cascade of measurable, intense brain activity that rewires neural networks, improves cognitive function, and creates lasting changes in how your brain operates. We're not talking about vague spiritual benefits anymore. We're talking about documented, peer-reviewed science showing that meditation fundamentally alters your brain's electrical signals, information processing capacity, and structural organization.
The evidence comes from an international study conducted at the University of Montreal and Italy's National Research Council that examined Buddhist monks from the Thai Forest Tradition using cutting-edge brain imaging technology. The results published in Neuroscience of Consciousness reveal something remarkable: meditation isn't a passive mental state. It's one of the most cognitively demanding activities your brain can perform.
This matters because understanding how meditation works opens the door to using it more effectively. Whether you're struggling with anxiety, trying to boost your productivity, or just curious about what happens when your eyes close and your attention narrows, the neuroscience explains exactly why meditation delivers results.
Let's dig into what the research actually found, what it means for your brain, and how you can apply these insights to your own practice.
TL; DR
- Meditation increases brain complexity: Neural activity becomes more information-rich and dynamically active during meditation, contrary to the "empty mind" misconception
- Two meditation types work differently: Samatha focuses attention narrowly (like a flashlight beam), while Vipassana expands attention widely, producing distinct brain patterns
- Brain criticality improves: Meditation pushes the brain toward an optimal "critical state" where it balances stability and flexibility, enhancing processing speed and learning capacity
- Measurable brain changes occur: MEG imaging shows increased neural oscillations, signal complexity, and altered criticality during meditation compared to rest
- Benefits scale with practice: Experienced meditators show more pronounced brain changes, stronger focus capacity, and better stress regulation than beginners


This chart illustrates the typical progression of meditation proficiency over time, assuming consistent practice. Estimated data shows gradual improvement from initial challenges to profound benefits.
The Myth of the Empty Mind: What Meditation Actually Is
Most people get meditation completely backwards.
When you imagine someone meditating, you picture deep calm, mental silence, and thoughts drifting away like clouds. The goal seems to be achieving a state of pure, thoughtless blankness. Zero brain activity. Maximum relaxation.
This narrative is everywhere. Meditation apps promise to help you "clear your mind." Wellness websites talk about "emptying your thoughts." Even experienced practitioners sometimes describe meditation as entering a state of profound stillness.
But neuroscience tells a different story entirely.
Meditation isn't a downshift to mental neutral. It's an upshift to a fundamentally different mode of brain operation. Your brain doesn't rest during meditation. It reorganizes. It engages specific attention networks while simultaneously managing distraction differently. It processes information with greater complexity and efficiency.
Think of it this way: meditation is like shifting from idle to a specific, purposeful gear. Your engine isn't turning off. It's running in a completely different configuration designed for a particular task.
The monks in the University of Montreal study didn't report blank minds. They reported heightened awareness, acute perception of subtle mental phenomena, and intense focus. Some described vivid sensations. Others noticed intricate patterns of thought. This subjective experience matches perfectly with what their brains were actually doing: engaging in sophisticated, multidimensional processing.
The "empty mind" idea persists partly because meditation feels different from normal consciousness. There's less mental chatter, fewer distractions, quieter inner dialogue. But that's not emptiness. That's reorganization. Your brain isn't producing less activity. It's producing different activity, organized differently, focused differently.
This distinction matters profoundly for anyone interested in meditation. If you're waiting to achieve some magical state of total thoughtlessness, you'll get frustrated. But if you understand that meditation is an active, dynamic, information-rich brain state, you can work with your brain instead of fighting it.
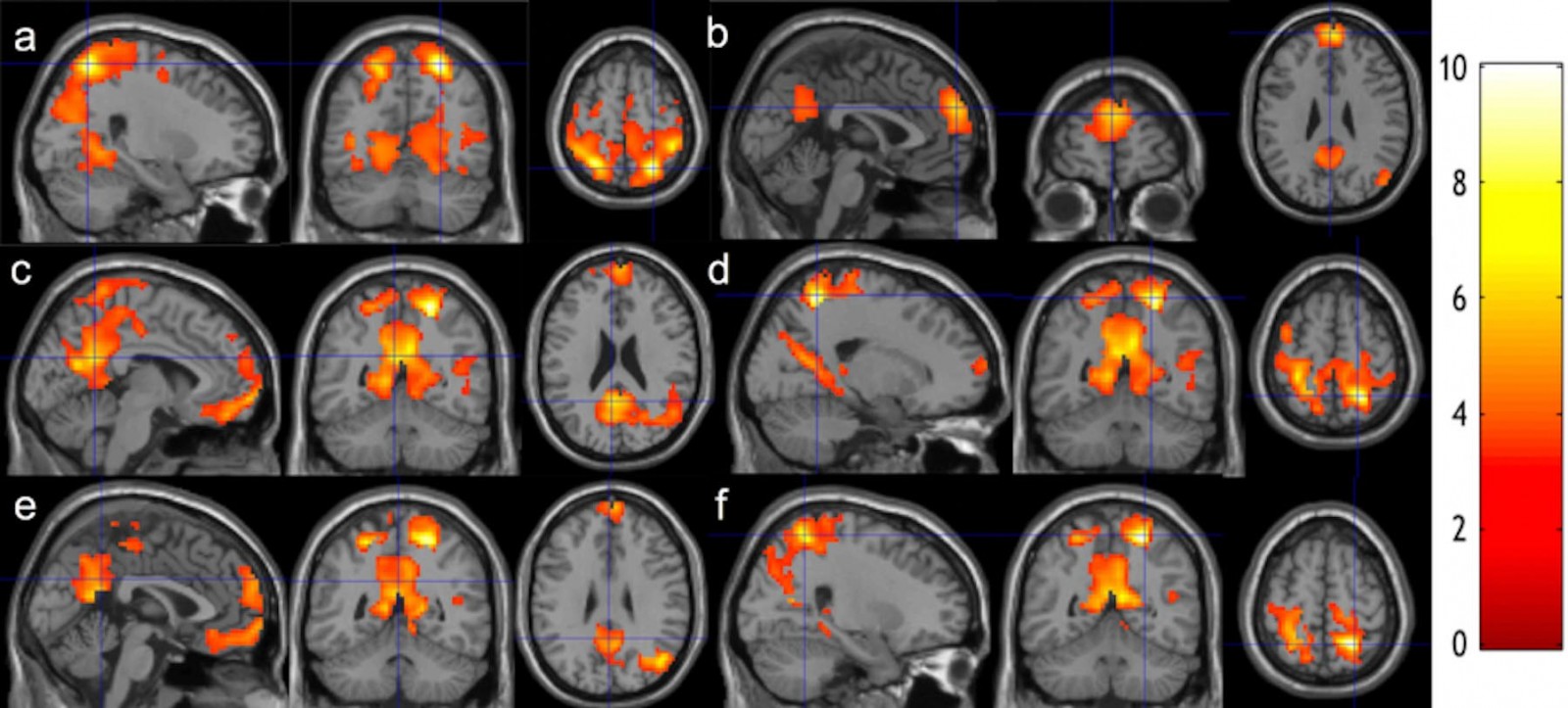
How the Study Worked: Measuring the Unmeasurable
Testing the brains of meditating monks required serious technological firepower.
The research team recruited twelve monks from Santacittārāma, a Buddhist monastery outside Rome, all trained in the Thai Forest Tradition with years of daily practice. These weren't beginners. These were experts whose brains had been shaped by thousands of hours of meditation.
The scientists used magnetoencephalography (MEG), a neuroimaging technology that records the brain's electrical signals with extraordinary precision. Unlike f MRI, which shows blood flow changes and has a slower temporal resolution, MEG captures the brain's electromagnetic activity in real time, millisecond by millisecond. This matters because meditation involves rapid, dynamic changes in neural activity. You need to see what's happening moment to moment, not just overall patterns.
The experimental setup was straightforward but rigorous. Each monk sat in the MEG chamber and alternated between different meditation practices with brief rest periods in between. Researchers recorded their brain activity during:
- Samatha meditation: Focused attention on breathing or a single point of concentration
- Vipassana meditation: Open awareness meditation observing thoughts and sensations as they arise
- Rest periods: Normal waking consciousness with no formal practice
The data wasn't just raw brain signals. Researchers used advanced signal analysis and machine learning algorithms to extract multiple indicators of neural complexity and dynamics. They measured neural oscillations (rhythmic patterns of electrical activity), signal complexity (how information-rich the neural activity was), and criticality parameters (how close the brain operated to the optimal balance point between order and chaos).
This combination of high-precision measurement and sophisticated analysis gave them an unprecedented window into what actually happens inside a meditating brain.


Estimated data shows common misconceptions depict meditation as a state of mental silence and low brain activity, whereas neuroscience reveals it as a state of heightened focus and complex brain activity.
Understanding Brain Criticality: The Sweet Spot
One of the most important concepts in the study is something most people have never heard of: brain criticality.
Criticality is a concept borrowed from physics that describes systems operating at the edge between order and chaos. Imagine a mountain of sand. Grains are stable and packed together (order). But add just one more grain in the right spot, and suddenly everything cascades down in an avalanche (chaos). The critical point is right at the edge where small changes produce big effects, but the system hasn't tipped into total chaos.
Neuroscientists realized the brain operates best when it's near this critical point. Here's why that matters:
A brain that's too ordered becomes rigid and inflexible. It struggles to adapt to new situations. It gets stuck in patterns. Think of a person locked into repetitive thinking, unable to adjust their perspective.
A brain that's too chaotic loses the ability to process information reliably. Signals fragment. Coherence breaks down. This is what happens in conditions like epilepsy, where brain activity becomes wild and uncontrolled.
But a brain operating near criticality? That's the Goldilocks zone. It's stable enough to maintain reliable information processing. It's flexible enough to adapt rapidly to new situations. It's organized enough to function, but dynamic enough to learn.
Mathematically, criticality can be described as a system where the correlation length approaches infinity:
Where the system is near the critical temperature
The monks in the study showed something remarkable: during meditation, their brains shifted closer to this critical state. This wasn't accidental. It reflected the deliberate focus and attention mechanisms engaged by meditation practice.
Why is this important? Because when your brain operates near criticality, it functions better across almost every dimension. You learn faster. You adapt quicker. You process complex information more efficiently. You make better decisions. You handle stress more effectively.
This is what meditation achieves. Not by shutting down your brain. By tuning it to peak operating efficiency.
Samatha vs. Vipassana: Two Roads to Different Brain States
Not all meditation is created equal.
The study examined two classical meditation techniques that produce distinct experiences and, as it turns out, distinct brain states.
Samatha meditation is concentration practice. You pick an object of focus—often the breath—and you narrow your attention onto it completely. Everything else falls away. Your field of awareness becomes narrow, intense, and unwavering. Karim Jerbi, a study coauthor and psychology professor at the University of Montreal, compares it to narrowing the beam of a flashlight. You're not trying to see the whole room. You're trying to see one point with absolute clarity.
The neurological signature of Samatha is increased stability and focus. The brain shows heightened synchronization in networks associated with attention. Neural oscillations become more organized. The overall effect is a brain in a highly concentrated state, moving toward greater order and stability.
Vipassana meditation is insight practice. Instead of focusing on one point, you open your awareness to everything. You observe thoughts, sensations, and emotions as they arise without judgment, without trying to control them, without letting them carry you away. It's more dynamic, more expansive, more complex.
Jerbi describes Vipassana like widening the flashlight beam. You're not focusing on one point anymore. You're taking in the whole landscape. You're noticing everything, reacting to nothing, observing the entire field of your mental experience.
The brain during Vipassana shows different patterns. There's less synchronized focus, more distributed activity across multiple networks. The brain becomes more flexible, more adaptive, more responsive to shifting mental phenomena. In a real sense, the brain is engaged in more complex information processing because it's handling a wider range of inputs simultaneously.
Here's where it gets interesting: the study found that both practices increased the overall complexity of brain signals compared to rest. But they achieved this complexity through different mechanisms.
With Samatha, you get high-complexity brain activity through deep, focused, organized engagement with a single object. Think of it as intensive complexity. The brain is running at maximum intensity within a narrow channel.
With Vipassana, you get high-complexity brain activity through distributed, open-awareness engagement with multiple phenomena. Think of it as extensive complexity. The brain is running at high intensity across a wide field.
The critical finding: only Vipassana consistently moved the brain closer to the optimal critical state. This suggests that open-awareness meditation might produce superior long-term neurological benefits compared to focused attention alone. But this doesn't mean Samatha is inferior. They're tools for different purposes. Samatha builds concentration capacity. Vipassana builds flexibility and insight.
Experienced practitioners often alternate between them, which is exactly what the monks in the study did. You build focus through Samatha. You develop flexibility through Vipassana. Together, they create a brain that's both concentrated and adaptable.

What Happens to Neural Oscillations During Meditation
Let's talk about the actual electrical patterns your brain produces during meditation.
Your brain's neurons fire constantly, generating electromagnetic activity that oscillates at different frequencies. These oscillations aren't random noise. They're organized, meaningful patterns that reflect specific brain states and functions.
Neuroscientists categorize brain oscillations by frequency:
- Delta (0.5-4 Hz): Associated with deep sleep and unconscious processing
- Theta (4-8 Hz): Associated with meditation, memory consolidation, and emotional processing
- Alpha (8-12 Hz): Associated with relaxed awareness and light meditation
- Beta (12-30 Hz): Associated with active thinking and problem-solving
- Gamma (30-100 Hz): Associated with conscious perception and information integration
During meditation, something interesting happens to these oscillations. The patterns don't disappear. They reorganize.
The monks in the study showed increased complexity in their neural oscillations during both types of meditation. This means the frequency patterns became more diverse, more information-rich, and more dynamically structured. The brain wasn't settling into a simple, uniform oscillation pattern. It was producing a sophisticated symphony of frequencies that reflected active, engaged cognitive processing.
Theta oscillations increased particularly during meditation, which makes sense because theta is the frequency associated with meditative states. But this wasn't just one steady theta rhythm. Multiple theta patterns were operating simultaneously, creating a complex harmonic structure.
Gamma oscillations also increased, particularly during Vipassana. Gamma is the frequency associated with binding different pieces of information together into unified conscious experience. Higher gamma during Vipassana suggests the brain is more actively synthesizing the stream of sensations and thoughts.
What's crucial about these oscillations is what they mean functionally. When oscillations become more complex and diverse, the brain is capable of more sophisticated information processing. Simple, monotonous oscillations suggest limited cognitive engagement. Complex, harmonious oscillations suggest rich, dynamic, engaged processing.
This is the opposite of the "empty mind" myth. The meditating brain is producing more electrical complexity, not less. It's more active, not less. It's more engaged in information processing, not disengaged.

Estimated data shows that brains in a critical state have the highest adaptability and information processing capabilities, compared to ordered or chaotic states.
Signal Complexity: The Brain's Information Processing Power
Beyond oscillations, researchers measured another critical dimension: signal complexity.
Signal complexity is a measure of how much information is encoded in your brain's electrical activity. A simple signal contains little information. A complex signal contains a lot. Boring static has low complexity. A symphony has high complexity.
Your brain produces the most meaningful activity when it's operating in a high-complexity state. This is when it's capable of sophisticated thinking, learning, adaptation, and insight.
The study found something striking: both Samatha and Vipassana increased signal complexity compared to a resting brain. The meditating brain produced more information per unit of neural activity. This means the brain was operating more efficiently, packing more meaningful processing into each neural event.
This has profound implications. It suggests that meditation isn't about reducing brain activity. It's about optimizing brain activity. You're not doing less. You're doing more with less.
Think about what this means practically. If your brain is producing more information with less overall activity, that's efficiency. That's power. That's why meditation has been shown to improve learning, memory, and cognitive function despite producing a subjective sense of calm and peace.
The brain is simultaneously:
- More complex (processing more information)
- More focused (operating with greater coherence)
- More efficient (doing more with less energy)
- More balanced (operating at criticality)
It's not rest. It's optimization.

How Different Meditation Types Create Different Neural Patterns
Remember that the study looked at the criticality deviation coefficient, a specific measure of how far the brain's neural dynamics deviate from the critical point.
This is where Samatha and Vipassana showed their clearest distinction.
During Samatha, the brain moved toward greater order and stability. The criticality coefficient shifted, reflecting a brain operating in a more stable, less flexible configuration. This makes sense for focused attention meditation. Your goal is to narrow your awareness, stabilize your attention, and exclude distractions. Your brain reorganizes to achieve exactly that.
During Vipassana, the brain moved closer to the critical point itself. Rather than moving toward order, it moved toward the balance point between order and chaos. This also makes sense for open-awareness meditation. Your goal is to maintain clear perception of whatever arises, which requires flexibility, adaptability, and the capacity to respond to unpredictable mental phenomena.
The fascinating part: both practices increased information processing capacity, but they got there through different routes.
Samatha achieves it through organized, stable engagement: deep, focused processing of the chosen object.
Vipassana achieves it through flexible, dynamic engagement: responsive processing of whatever appears.
This explains why both are valuable and why many traditions combine them. You need both stable focus and dynamic flexibility for optimal brain function. Meditation gives you both, depending on the practice.
For someone trying to decide which to practice first, this research suggests that Samatha builds the foundation. It develops attention stability, which is prerequisite for other practices. Only once you've developed stable attention can you effectively do open-awareness meditation without losing yourself in distraction.
The Default Mode Network and Meditation
One aspect of brain function that changed during meditation is the default mode network (DMN).
The DMN is a collection of brain regions that activate when you're not focused on external tasks. It's your brain's idle state, and it's actually quite active. When your mind wanders, when you daydream, when you engage in self-referential thinking, your DMN is running.
For much of modern life, your DMN is overactive. You're constantly thinking about yourself, your problems, your past, your future. This self-referential thinking is useful sometimes, but when it's constant, it contributes to anxiety and stress.
During meditation, DMN activity changes. Researchers found that meditation practices showed reduced global organization in certain parameters linked to DMN coordination. In other words, the self-referential thinking machine quiets down. Not completely—your brain still functions. But the constant self-focused narrative softens.
This reduction in DMN dominance has been implicated in the stress reduction and anxiety relief associated with meditation. When you're not constantly narrating your own story, when your brain isn't constantly comparing yourself to others and worrying about threats, you naturally feel calmer and more content.
Interestingly, different practices affected the DMN differently. Vipassana showed more dramatic DMN changes, consistent with its goal of reducing identification with thought patterns. Samatha also affected DMN function, but in a more subtle way.
This is important because it explains one of meditation's biggest benefits: psychological freedom. By temporarily quieting the default mode network, meditation breaks the constant loop of self-focused thought that drives much of modern psychological suffering.


Meditators show improved performance on attention, working memory, and complex reasoning tasks compared to non-meditators. Estimated data based on typical study findings.
Attention Networks: The Brain Systems Engaged by Meditation
Meditation isn't just affecting background brain function. It's actively engaging specific attention networks.
Your brain has multiple attention systems that operate in different ways:
The alerting network maintains overall readiness and vigilance. It keeps you ready to respond.
The orienting network directs your attention to specific stimuli. It says "pay attention to this and not that."
The executive control network manages conflict and resolves competing demands on attention.
All three of these systems engage during meditation, which is the opposite of what you'd expect if meditation were passive rest. Your brain isn't powering down its attention systems. It's actively controlling and directing them.
During Samatha, the orienting network shows particularly strong engagement. This makes sense because you're deliberately directing your attention to a specific object and away from everything else. You're using your orienting attention network to maintain focus.
During Vipassana, the executive control network shows more activity. This also makes sense because you're managing competing demands—maintaining open awareness while not getting caught in thought, noticing phenomena while not reacting to them. You're actively managing cognitive conflicts.
The activation of these networks explains why meditation improves attention capacity. You're not passively sitting. You're actively training your attention systems. Each time you notice your mind has wandered and gently return to your object of focus (in Samatha), you're strengthening your attention networks. Each time you observe a thought arising and choose not to follow it (in Vipassana), you're building attention control.
Meditation is, in a real sense, attention training. Your brain's attention systems get stronger the more you use them deliberately.
Neuroplasticity: How Meditation Physically Rewires the Brain
The acute changes measured in the study—increased complexity, shifts in criticality, changes in oscillation patterns—represent the brain's state during meditation.
But there's something even more important happening over time: neuroplasticity. With consistent practice, meditation physically changes your brain structure.
Neuroplasticity is the brain's ability to reorganize itself by forming new neural connections throughout life. When you learn something, when you practice something repeatedly, when you experience something intensely, your brain physically rewires itself. New connections form. Old ones strengthen or weaken. Entire brain regions can grow or shrink.
Studies of meditators show measurable structural changes:
- Gray matter density increases in regions associated with attention, emotional regulation, and self-awareness
- Cortical thickness increases in the prefrontal cortex, the region most associated with emotional control and rational thinking
- White matter increases along pathways connecting attention networks
- Amygdala volume decreases, which is the brain region most associated with fear and anxiety
These aren't tiny changes. They're significant, measurable, structural transformations. Your brain is being literally rebuilt by meditation practice.
The timeline matters. These changes don't happen after one meditation session. They develop over weeks and months of consistent practice. But they do develop. If you meditate daily for eight weeks, your brain has physically changed. The changes persist even after you stop meditating, though they fade gradually without continued practice.
This is why meditation is sometimes compared to working out. You don't get muscles from one trip to the gym. But consistent training over weeks produces real physical changes. Same with meditation. Consistent practice produces real neurological changes.

The Stress Response and Meditation
One of the most valuable benefits of meditation is its impact on the stress response.
Your brain's stress response system is orchestrated by the hypothalamic-pituitary-adrenal (HPA) axis. When you encounter a threat, this system activates. Your amygdala (threat detector) signals the hypothalamus, which releases hormones that cascade through your pituitary and adrenal glands, ultimately flooding your body with cortisol and adrenaline.
This system is essential for survival. When you face genuine danger, you want this response to activate. The problem is that modern life triggers this system constantly—not because of physical threats, but because of psychological stress, work deadlines, social pressure, and worry about the future.
The result is chronic activation of your stress response system. Your cortisol and adrenaline remain elevated. Your body never fully relaxes. This wreaks havoc on your immune system, your cardiovascular system, your digestive system, and your brain.
Meditation directly affects this system. By quieting the default mode network (which generates much of the self-focused worry that triggers stress), by strengthening prefrontal cortex function (which regulates the stress response), and by altering activity in the amygdala (which detects threats), meditation dampens your stress response.
Moreover, regular meditation practice appears to reset your stress response threshold. With consistent practice, you become less reactive to stressors. The same situation that previously triggered a strong stress response now produces a milder reaction. You've trained your brain to respond differently.
This isn't just psychological. It's neurobiological. Your HPA axis has literally been recalibrated by meditation practice. Your threat detection system is less jumpy. Your stress hormones remain lower. Your body remains calmer.
For anyone dealing with anxiety, panic disorder, or chronic stress, this is genuinely transformative. You're not just feeling more relaxed. Your brain's fundamental threat-detection and stress-response system is being recalibrated.

Future meditation neuroscience research is expected to focus on real-time neurofeedback and long-term studies, each estimated at 25% of research efforts. Estimated data.
Memory, Learning, and Cognitive Enhancement Through Meditation
Beyond stress reduction, meditation enhances cognitive function directly.
The hippocampus is your brain's learning and memory center. It's where new information gets encoded, where memories get consolidated, and where learning happens. The prefrontal cortex is where working memory operates, where you hold information in mind temporarily to work with it.
Meditation strengthens connections between these regions. It increases hippocampal volume and enhances prefrontal cortex function. The result is improved learning and memory capacity.
Moreover, meditation improves attention, which is foundational for learning. You can't learn effectively if you're distracted. By training attention through meditation, you improve your capacity to focus on study material, absorb it, and remember it.
Cognitive flexibility also improves with meditation. Cognitive flexibility is your ability to shift between different mental sets, to consider problems from multiple angles, to adapt your thinking when circumstances change. This is crucial for complex problem-solving, creativity, and adaptation.
The mechanisms are multiple. Increased prefrontal activity improves executive function. Decreased amygdala activity reduces emotional reactivity that can cloud judgment. Increased default mode network regulation reduces mind-wandering that distracts from the task at hand. Together, these changes enhance overall cognitive performance.
Studies show meditators perform better on attention tasks, working memory tasks, and complex reasoning tasks compared to non-meditators. The effect sizes are modest but meaningful—roughly equivalent to the cognitive enhancement you'd get from a full night of sleep after being sleep-deprived.
For anyone trying to optimize their mind, meditation is a cognitive tool as much as a spiritual practice.

The Emotional Brain: How Meditation Affects Feelings
Meditation doesn't just affect thinking. It fundamentally changes how emotions work in your brain.
The brain regions involved in emotion include the amygdala (threat detection and fear), the anterior cingulate cortex (emotional awareness), and the insula (bodily sensation and emotional awareness). These regions generate and process emotional experience.
Meditation, particularly compassion and loving-kindness meditation, increases activity in regions associated with positive emotions and decreases activity in regions associated with negative emotions. With practice, this rewires emotional responses.
A stimulus that previously triggered anger might trigger neutral observation. A thought that previously triggered anxiety might arise and pass without triggering fear. You haven't become emotionally numb. You've become emotionally flexible. Emotions still arise—that's normal brain function—but you're less controlled by them.
Moreover, meditation develops emotional awareness. You notice emotions more readily, earlier in their development. You can observe them without being swept away by them. This is different from suppression or denial. You're not avoiding emotions. You're experiencing them more clearly.
The practical result: greater emotional resilience, faster recovery from negative emotions, reduced rumination about painful experiences, and less reactivity to social stress.
This is why meditation is increasingly used in clinical psychology for anxiety disorders, depression, and trauma. It's not just a nice feeling practice. It's a tool for fundamentally changing how your brain processes emotional information.
Individual Differences: Why Meditation Works Differently for Different People
The monks in the study weren't randomly selected. They were all experienced practitioners from the same tradition with years of daily practice.
But even among experienced meditators, the brain changes varied. Some monks showed more pronounced increases in complexity. Others showed greater criticality shifts. Individual differences in baseline brain organization, in meditation experience, and in natural attentional capacity all influenced the results.
This matters because it explains something you might have noticed if you've tried meditation: it works differently for different people.
Some people drop into deep meditative states easily, reporting profound stillness within minutes. Others find the first 15 minutes agitating, with their mind racing continuously. Some find open-awareness meditation natural; others need focused attention practices first. Some experience vivid imagery; others barely notice any sensory phenomena.
All of this is normal. Individual differences in brain organization explain these variations. Your genetic predisposition, your prior experience, your natural attentional capacity, even your baseline stress levels—all influence how meditation affects you.
The good news: everyone shows benefits with consistent practice, even if the subjective experience varies widely. The brain changes happen regardless of whether meditation feels "successful" by your subjective standards.
Moreover, understanding these differences suggests optimizing your practice based on your individual neurology. If you find focused attention naturally, start with Samatha. If you find open awareness easier, start with Vipassana. Work with your brain's strengths rather than against them.


Estimated data shows that both Samatha and Vipassana meditation significantly increase the brain's signal complexity compared to a resting state, indicating more efficient information processing.
When to Practice: Timing and Brain State
One factor the study didn't examine explicitly but is worth considering: when you meditate affects how your brain responds.
Your brain operates differently at different times of day. Circadian rhythms influence alertness, attention capacity, and emotional regulation. Your hormonal state influences how your brain responds to meditation. Your sleep, nutrition, and recent activity all affect your brain's readiness for practice.
Generally, meditating when you're well-rested and alert produces more robust brain changes than meditating when exhausted. But this doesn't mean you shouldn't meditate when tired—meditation can actually help with sleep quality. It just means the acute brain changes might be less dramatic.
Some research suggests meditation practice in early morning produces different effects than evening meditation. Morning practice appears to enhance attentional capacity throughout the day. Evening practice appears to enhance relaxation and sleep quality.
For someone optimizing their practice, experimenting with timing and noticing how your brain responds is valuable. There's no one-size-fits-all answer, but your individual brain will signal what works best.
Building a Sustainable Practice: Frequency and Duration
The monks in the study meditated for hours daily as part of their monastic life. That's not practical for most people.
But research shows meaningful brain changes happen with much less extreme practice. Studies find measurable neurological benefits from:
- 20-30 minutes daily: Standard meditation program duration showing robust effects
- 150-300 minutes weekly: Total practice accumulating neurological changes
- 8 weeks: Common study duration showing measurable brain and behavioral changes
However, consistency matters more than duration. Twenty minutes daily produces more brain changes than an hour once weekly. The brain responds to regular, repeated practice. You're building new neural pathways through repetition. Sporadic practice doesn't build pathways effectively.
For beginners, starting with 10-15 minutes daily is often more sustainable than attempting 30 minutes. The key is establishing the habit, getting to the point where meditation feels natural and expected rather than forced.
As your practice deepens, you naturally tend to extend duration because deeper states become accessible. But there's no need to force that progression. Consistency beats intensity.

The Role of Expectation and Belief in Meditation Outcomes
Here's where it gets psychologically interesting: expectation and belief influence meditation outcomes.
This isn't to say meditation is "just placebo." The brain changes are real and measurable. But your expectations about what meditation will produce influence how your brain engages with the practice.
Someone convinced that meditation will produce calm and relaxation might prematurely interpret normal mental activity as "not working right." Someone convinced that meditation will enhance insight might engage more deeply with the observation process.
The brain is complex enough that your conscious expectations and beliefs influence your unconscious brain activity. If you approach meditation as a therapeutic tool you believe in, different neural pathways activate than if you approach it skeptically.
This doesn't mean belief is sufficient without practice. The brain changes require actual meditation. But it means that beliefs matter. Approaching your practice with realistic optimism, based on the actual research showing benefits, matters.
For anyone considering meditation, this is good news. The research shows real benefits. Believing in those benefits and approaching practice accordingly appears to enhance outcomes further.
The Science of Long-Term Benefits: Sustained Changes Beyond Practice
One crucial finding from longitudinal studies: the brain changes from meditation don't immediately disappear when you stop practicing.
This is important because it suggests meditation creates lasting rewiring, not just temporary states.
If you meditate consistently for several months or years, then stop, the changes in gray matter density, cortical thickness, and functional connectivity don't instantly revert. They fade gradually over weeks and months. But there's a lag. Your brain has been permanently shifted to some degree.
Moreover, resuming practice after a break often reactivates changes more readily than building them from scratch initially. It's like muscle memory for the brain. Your neural pathways remember their previous configuration.
This has practical implications. Life happens. You might pause your practice for weeks or months due to illness, travel, or stress. When you resume, the benefits return faster than they initially developed. Your brain retains the training.

Combining Meditation with Other Interventions
While the study focused on meditation alone, real-world brain optimization usually combines multiple approaches.
Meditation synergizes powerfully with:
Physical exercise: Both meditation and exercise increase BDNF (brain-derived neurotrophic factor), which supports neural growth. Combined, they produce greater effects than either alone.
Cognitive training: Meditation improves attention and awareness, which enhances the effectiveness of cognitive training. Combined, they produce better learning outcomes.
Sleep optimization: Sleep consolidates the neural changes produced by meditation. Without adequate sleep, meditation benefits are reduced. With good sleep, they amplify.
Social connection: Loneliness activates the default mode network and stress response system. Social connection helps quiet these systems. Combining meditation with meaningful relationships produces better emotional health than either alone.
Mindful nutrition: Eating without distraction, with awareness of taste and satiety, enhances both the meditation benefits and nutritional outcomes. It's meditation extended into daily life.
For anyone trying to optimize their brain, meditation is a powerful tool. But combining it with other evidence-based interventions produces superior results.
From Laboratory Findings to Lived Experience
The research measured monks' brains in a laboratory setting, observing specific, quantifiable changes during meditation.
But what does this mean for actual lived experience?
The monks reported experiencing clarity, peace, insight, and altered perception of time. These subjective experiences align with the objective neurological findings. When the brain shows increased complexity, distributed activity, and criticality optimization, practitioners experience precisely this kind of mental clarity and openness.
Moreover, the benefits extend beyond the meditation session. Monks with years of practice report fundamentally different relationships to thoughts and emotions. They notice they're less reactive, more aware, more at ease. These aren't just subjective impressions. They reflect the persistent structural brain changes from years of practice.
For someone considering meditation, this is the actual promise: not exotic states during practice (though those can occur), but enduring changes in how your brain functions day-to-day. Less reactivity. More clarity. Better focus. Deeper peace. These aren't mystical. They're neurological.

Scaling Your Practice: From Beginner to Consistent Practitioner
The monks in the study didn't start where they ended. They spent years building their practice, gradually deepening their capacity, slowly rewiring their brains.
For someone starting fresh, here's how progression typically works:
Weeks 1-2: Meditation feels strange and agitating. Your mind races. You wonder if you're doing it wrong. Actually, this is normal. Your brain hasn't learned yet.
Weeks 3-8: Meditation becomes slightly easier. Your mind still wanders, but you notice it happening more readily. You might experience moments of genuine focus or peace.
Weeks 9-16: Meditation feels increasingly natural. You notice real benefits: better focus during the day, better sleep, less reactivity to stress.
Months 4-6: Deeper states become accessible. You might experience vivid sensory phenomena, profound peace, or significant insights.
6-12 months: The benefits become integrated into your baseline functioning. You're calmer and more focused not just during meditation, but throughout your day.
1-2 years: Your brain has been substantially rewired. The changes become stable and self-reinforcing.
2+ years: You're operating with a fundamentally different brain. The neurological changes are extensive. The benefits compound.
This progression assumes consistent practice. The timeline accelerates with intensive practice and slows with sporadic practice.
Common Obstacles and How to Overcome Them
Most people encounter obstacles when trying to establish a meditation practice. Understanding these neurologically helps you navigate them:
Restlessness and difficulty focusing: Your attention networks haven't developed yet. This is normal. Shorter sessions (5-10 minutes) or more structured practices (like counting breaths) provide the scaffolding your attention needs.
Falling asleep: Your brain is shifting into sleep mode, possibly because you're too relaxed or too tired. Practice when better rested, or practice in a sitting posture that doesn't encourage sleep.
Intrusive thoughts: Your default mode network is fighting to maintain its normal self-referential patterns. This is actually progress. You're noticing the thinking because you're not automatically caught in it. Keep observing without judgment.
Boredom: Your brain craves novelty, which works against sustained attention. Remembering that boredom itself is a valid meditation object—you're observing the experience of boredom—can help. Alternatively, varying between different meditation types prevents stagnation.
Lack of obvious benefit: Benefits accumulate subtly over weeks. You might not notice them acutely. But asking someone who knows you well often reveals changes before you consciously notice them.
Understanding these obstacles as normal developmental stages in meditation practice, rather than signs of failure, helps you persist through them.

The Future of Meditation Neuroscience
The study published in Neuroscience of Consciousness represents current state-of-the-art research, but the field is rapidly advancing.
Future research will likely examine:
- Real-time neurofeedback: Showing meditators their own brain activity in real time might accelerate learning and deepen practice
- Genetic factors: Understanding which genetic variations predispose toward meditation responsiveness
- Pharmacological interactions: How meditation might enhance or be enhanced by medications
- Long-term longitudinal studies: Following meditators across decades to understand cumulative effects
- Cross-cultural comparisons: How different meditation traditions produce similar or distinct brain changes
As technology improves and research expands, we'll develop increasingly precise maps of how meditation reshapes the brain.
But even without future research, the current findings are clear: meditation is a powerful intervention for brain health. It's not mystical or beyond science. It's a well-documented, neurologically measurable practice that reshapes brain structure and function in beneficial ways.
Bringing It Together: Why This Matters
The key finding from this research is simple but profound: meditation is an active, dynamic, cognitively demanding brain state that increases information processing capacity, optimizes neural balance, and produces lasting structural changes.
This contradicts the cultural myth that meditation is passive mental emptiness. It's actually the opposite: meditation is active mental engagement at an optimized level.
Understanding this shifts how you might approach meditation if you decide to practice. You're not trying to achieve blank nothingness. You're training your brain to operate at peak efficiency. You're not escaping your mind. You're refining how your mind functions.
For people struggling with stress, anxiety, poor focus, or emotional reactivity, meditation offers a neurologically grounded path to real change. Not because it's mystical or spiritual (though it can be both), but because it literally rewires your brain.
The monks in the study dedicated their lives to meditation. You don't need that level of commitment to benefit. Consistent, regular practice—even 20-30 minutes daily—produces measurable brain changes within weeks.
The research is clear. The technology has measured it. The evidence supports it.
Your brain is asking for this practice. Give it a chance.

FAQ
What exactly happens to the brain during meditation?
During meditation, your brain increases the complexity of its electrical signals, shifts toward optimal neural balance (criticality), and activates attention networks. Rather than reducing activity, meditation creates a more information-rich brain state that processes information more efficiently. The specific changes depend on the meditation type: focused attention (Samatha) increases stable concentration, while open-awareness meditation (Vipassana) increases flexible adaptability.
How long does it take to see benefits from meditation practice?
You can notice subjective benefits within 1-2 weeks of consistent daily practice, though the changes are subtle. Measurable brain changes appear within 8 weeks of regular practice. More substantial structural changes in gray matter density and cortical thickness develop over months of consistent practice, with continued deepening over years.
Can anyone meditate, or are some people naturally better at it?
Anyone can meditate and experience benefits, though individual differences in attention capacity, emotional reactivity, and brain organization mean meditation feels different for different people. Some find focus easy but struggle with open awareness. Others experience the opposite. The key is finding the right approach for your brain rather than forcing yourself into a one-size-fits-all method.
What's the difference between Samatha and Vipassana meditation?
Samatha focuses your attention narrowly on a single point (like your breath), producing stable, organized brain activity. Vipassana opens your awareness broadly to observe whatever arises, producing flexible, distributed brain activity. Both increase brain complexity but through different mechanisms. Samatha builds concentration capacity; Vipassana builds insight and flexibility.
How does meditation reduce anxiety?
Meditation reduces anxiety through multiple mechanisms: it quiets the default mode network (which generates much of the worry underlying anxiety), it strengthens prefrontal cortex function (which regulates stress response), it calms the amygdala (your brain's threat detector), and it recalibrates your HPA axis (your stress response system). With consistent practice, you become less reactive to stressors and recover from stress more quickly.
Can meditation benefits persist if you stop practicing?
The structural brain changes from meditation don't immediately disappear when you stop practicing. They fade gradually over weeks and months, but the changes persist to some degree. Moreover, resuming practice after a break often reactivates benefits more readily than building them initially, similar to muscle memory. Consistent long-term practice produces increasingly stable changes.
How much daily meditation is necessary to see real benefits?
Measurable benefits appear with 20-30 minutes of daily meditation. However, consistency matters more than duration—daily 20-minute practice produces better results than sporadic longer sessions. Starting with 10-15 minutes daily is more sustainable for beginners and still produces real neurological changes within weeks.
Does meditation work if you don't believe in it?
Yes, meditation produces measurable brain changes regardless of your beliefs. The neurological changes are real and objective. However, believing in meditation's benefits and approaching practice with realistic optimism appears to enhance outcomes further. Skepticism doesn't prevent benefits, but it might reduce engagement that could increase them.
Can meditation enhance cognitive function and learning?
Meditation strengthens the prefrontal cortex and hippocampus, improving working memory and learning capacity. It also enhances attention, which is foundational for learning, and increases cognitive flexibility, improving problem-solving ability. Studies show meditators perform better on attention, memory, and reasoning tasks compared to non-meditators.
What happens in the brain during the first week of meditation practice?
During the first week, you're establishing new attention patterns and beginning to engage attention networks more deliberately. The brain shows initial activation in regions associated with focus and awareness. However, these early changes are modest. More substantial neurological changes require weeks of consistent practice as your brain gradually reorganizes.
Key Takeaways
- Meditation increases brain signal complexity and creates more information-rich neural activity, contrary to the 'empty mind' myth
- Different meditation types (Samatha vs Vipassana) produce distinct brain patterns through different mechanisms but both improve cognitive function
- Meditation optimizes neural criticality, the balance point where brains process information most efficiently and adapt most flexibly
- Consistent daily practice for 8+ weeks produces measurable structural brain changes including increased gray matter and improved stress regulation
- The default mode network (self-focused thinking) quiets during meditation, reducing anxiety and improving emotional resilience
![How Meditation Rewires Your Brain: Neuroscience Evidence [2025]](https://tryrunable.com/blog/how-meditation-rewires-your-brain-neuroscience-evidence-2025/image-1-1770851215261.jpg)


